Aural Atresia Repair

Underdeveloped ear canals can impact your child’s hearing, speech, language development, and learning abilities. Fortunately, Dr. John Reinisch offers comprehensive aural atresia repair at his Beverly Hills, CA, practice, which draws patients from around the world. In collaboration with an otologist, he can actually rebuild the inner ear, restoring near-complete hearing. Reinisch Plastic Surgery is the only practice that combines aural atresia repair and microtia treatment into a single outpatient surgery. In this way, we can minimize discomfort, recovery time, and expense. At the same time, if your child does not qualify for ear canal reconstruction, we can recommend an alternative treatment to improve your child’s hearing.
Candidates for Aural Atresia Repair
Aural atresia is a congenital condition that inhibits inner ear development. In some cases, the inner ear is missing entirely. As a result, sound waves are not able to travel through the ear to vibrate the eardrum, hearing bones, and inner ear fluid. Thus, the auditory nerve cannot transmit signals to the brain, where these signals would be registered as sounds.
Reinisch Plastic Surgery is the only practice that combines aural atresia repair and microtia treatment into a single outpatient surgery.
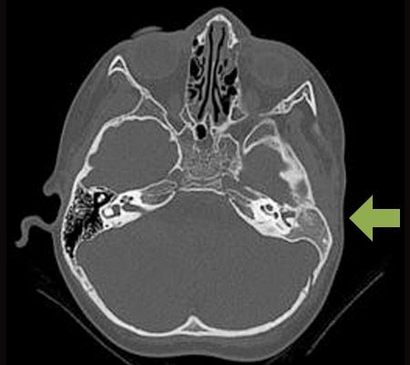
If your child suffers from aural atresia, he or she may be a candidate for ear canal reconstruction. Dr. Reinisch will take a CT scan of the inner ear to make sure that he or she has a healthy cochlea, which is necessary for successful surgery. The majority of patients at our Beverly Hills microtia surgeon's office meet this requirement. These images will also reveal whether the inner ear bones have fused together, another condition that will limit candidacy for surgical repair. Children must be at least two-and-a-half years old to receive a CT scan. Dr. Reinisch will consult with an audiologist, otologist, and other specialists to determine your child’s eligibility for treatment.
The Benefits of Early Treatment
When children are very young, they are going through a critical developmental stage. As they hear and process new sounds, it stimulates their brains and strengthens neurological function. You can compare this process to learning a new language or learning to play the piano. Children adopt these skills much more easily than adults. Therefore, it is important to treat aural atresia as early as possible. However, in most cases, we will not perform surgery until your little one is at least three years old.
Ear Canal Reconstruction
A trusted otologist will perform ear canal reconstruction, also known as canaloplasty. Dr. Reinisch will perform the cosmetic aspects of the procedure, typically using a polyethylene MEDPOR® implant to create an outer ear framework.
Your treatment team will carefully plan the procedure during an initial consultation. The surgery itself will take place under general anesthesia. To ensure your child’s complete safety, we work with experienced pediatric anesthesiologists. Your child’s surgeon will first create an opening where the ear canal would normally be located. He or she will line this opening with a skin graft and, if necessary, reposition the inner ear bones to ensure better hearing. In some cases, the doctor may need to create a new eardrum as well, using an additional skin graft. Once this process is complete, Dr. Reinisch will reconstruct the outer ear, typically using the MEDPOR® technique.

These combined procedures can restore hearing as well as aesthetics.
Combined Atresia MEDPOR® (CAM) surgery is a rather extensive process. Though it is an outpatient surgery, we will still need to monitor your child’s progress and healing. In most cases, your little one will have the first follow-up one to two days after surgery. The second appointment will usually take place two weeks later. We know that many patients come from long distances to receive our care. We offer free accommodation for two nights at a nearby Four Seasons. We also partner with the local Ronald McDonald House to provide long-term housing.


This young patient can now hear properly while having a normal appearance.
Other Options to Address Aural Atresia
If your child does not qualify for ear canal reconstruction, we can recommend an alternative treatment. These options will not restore hearing as successfully. Nonetheless, they can improve auditory processing and language development:
- BAHA: A bone-anchored hearing device will help transmit sound waves to the inner ear. Children must be at least five years old before they can receive one of these devices.
- Soft-band BAHA: A soft-band BAHA performs a similar function to a traditional bone-anchored hearing device. Because they are not surgically attached, babies can wear them from birth.
- Vibrant Sound Bridge: This middle ear implant also includes an audio processor, which can help to transmit sounds at higher frequencies.
Contact Reinisch Plastic Surgery Today
To find out more about microtia and whether your child qualifies for surgery, contact our office online today. You can also call (833) 896-3277 to speak to a member of our multilingual team.

